Stomatološka ordinacija – Belle Dent
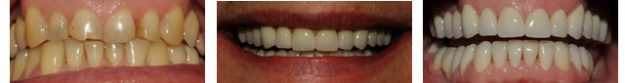
Adresa: Gandijeva 114a, 11070 Novi Beograd Telefoni: 011/2289-547 062/200-711 Web sajt: www.belledent.rs Dobrodošli u Našu ordinaciju! O nama Stomatološka ordinacija Bel Dent (BELLE DENT) je nova, savremeno opremljena i konceptuirana ordinacija, sposobna da Vam pruži svaku stomatološku uslugu u najkraćem mogućem vremenu, po najnovijim doktrinama struke, sa najkvalitetnijim materijalima na tržištu. Porodična tradicija bavljenja stomatologijom…


































