Stomatološka ordinacija MY DENT
Stomatološka ordinacija MY DENT će Vas toplo dočekati i rešiti svaki Vaš problem, uz prijatan ambijent, savremenu tehnologiju i primenu najsavremenijih materijala. MY DENT ne samo da se nalazi na pristupačnoj lokaciji u centru Novog Beograda, već zbog činjenice da ordinacija poseduje rendgen aparat, uspevamo da zadovoljimo sve potrebe svakog našeg pacijenta na licu mesta.
Danas, kada u savremenoj stomatologiji bezbolan rad više nije retkost, a ordinacija MY DENT nikada, od svog postojanja, nije odstupala od tog principa, sa pravom možemo tvrditi da smo ispunili sve uslove kako bi se naši pacijenti osećali prijatno.
Saradnjom sa stručnjacima iz različitih specijalističkih grana stomatologije postižemo vrhunske rezultate u:
– očuvanju oralnog zdravlja
– lečenju zuba
– oralnoj hirurgiji
– implantologiji
– ortodonciji
– parodontologiji
– preventivi i dečijoj stomatologiji
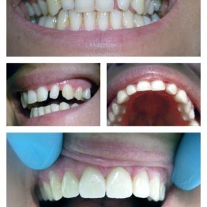
– fiksnoj stomatološkoj protetici (krunice, mostovi, viniri, nadogradnje)
– mobilnoj protetici (totalne proteze, vizil parcijalne proteze, vizil proteze sa atečmenima)
Ako iko danas pomisli zubar, reći će stomatolog.
Ako neko pomisli na moderni Beograd, reći će Novi Beograd.
Zato će svako ko pomisli profesionalnost, preciznost, tačnost i prijatnu uslugu, reći MY DENT.
Naš cenovnik možete pogledati OVDE!
Radno vreme: 11-20h
Stomatološka ordinacija MY DENT, Bulevar Zorana Đinđića 56, Novi Beograd













